Svetozara Markovića 56
Beograd
PITANJE: Poštovani, zamolila bih Vas za jos informacija u vezi sa hipoplazijom na mlečnim zubima. Kod naseg deteta je pregledom utvrdjeno da nema karijes, već hipoplaziju. Stomatolog je preporucio samo kontrole na 3 meseca. Sta je po Vasem misljenju uzrok hipoplazije i da li bi Vi jos nesto radili sa zahvacenim zubima? Takodje,da li postoji mogucnost da se hipoplazija pojavi i na stalnim zubima? Hvala unapred na odvojenom vremenu i odgovoru.
ODGOVOR: Oštećenja(defekti) u zubnoj gleđi se dele u dve velike grupe preme uzroku: 1) oštećenja izazvana karijesom i 2) nekariozna oštećenja.
Nekariozna oštećenja pak mogu da budu posledica: 1) stečenih faktora koji dejstvuju na normalno razvijen zub posle nicanja, poput povreda ili hemiskih i mehaničkih trošenja gleđi(erozije) i 2) faktora koji deluju u toku razvoja zuba usled čega se stvara manje ili više nepravilna zubna tkiva.
Razvojna oštećenja mogu da budu, pak, posledica genetskih poremećaja sa različitim načinom nasleđivanja defektnih gena zaduženih za stvaranje zubnih tkiva(gleđ, dentin, cement), ali mogu da nastanu i usled dejstva različitih toksičnih faktora, tokom razvoja, na zube koji imaju dobru genetsku osnovu(dok su zubi još u viličnim kostima).
Prema spoljašnjem izgledu oštećenja gleđi nepravilnosti mogu da budu samo u obliku promene boje(bela, žućkasta) sto se naziva stručno HIPOMATURACIJA(bele mrlje-videti na kraju teksta), ili pravih defekata nepravilnog oblika što se naziva HIPOPLAZIJA.(slika 1.)

Oblici razvojinih nepravilnosti gleđi: a) HIPOMATURACIJA (desno) b) HIPOPLAZIJA (levo)
Razvojna oštećenja su posledica stvaranja manje kvalitetne gleđi ili potpunog nedostataka gleđi na pojedinim mestima. Ponekada, po nicanju zuba, takva gleđ je samo promenjenog izgleda(hipomaturacija), ali je slabije mehaničke otpornosti i usled pritisaka dolazi do njegnog pucanja i prelaska u defekt(hipoplaziju).
Faktori koji dovode do stvarnja gleđi slabijeg kvaliteta mogu da deluju sistemski, što znači da se radi o promenama u kompletnom organizmu zbog nekih trovanja(npr višak fluora, olovo, neki antibiotici ili drugi lekovi, poremećaji u metabolizmu), opštih oboljenja(virusne i bakterijske infekcije, poremećaji krvi, žutica i sl.) ili pak nedostatka sastojaka ishrane važnih za razvoj mineralizovanih tkiva(vitamin D, kalcijum i sl.). Dejstvo sistemskih faktora se ispoljava na više zuba i to na onim delovima zuba koji su se razvijali u periodu njihovog dejstva, pošto se svi zubi i njihovi delovi ne razvijaju istovremeno. Ostali delovi zuba, ako je faktor delovao samo u određenom vremenskom periodu, ostaju zdravi. Na osnovu položaja oštećenja može da se oderedi kada se i atak dogodio. Za razliku od ovih sistemskih razvojnih poremećaja, nasledni(genetski) poremećaji ne pokazuju specifičnu lokalizaciju veznu za određeni period razvoja zuba, već su nepravilno raspoređni po celoj površini krunice i najšeće na svim zubima.(slika 2.)

Nasledni defekt razvoja gleđi koja je veoma meka i praktično odvojena od površine zuba
Ali, ukoliko štetna intoksikacija deluje kroz duži vremenski period onda će isto tako biti zahvaćeni gotovo svi zubi, kao i kompletne površine. Takav je slučaj kod višegodišnjeg unosa viška fluora preko vode za piće i obljenja zuba nazvanog DENTALNA FLUOROZA.
Oštećenja u gleđi zuba u razvoju(dok još nije iznikao) mogu da izazovu i lokalni uzroci. To su najšešće utisnuće mlečnog zuba ili infekcija u kosti oko obolelog mlečnog zuba. Tada se razvojno oštećenje gleđi javlja na stalnom zubu. (Slika 3.)

Stalni sekutići(desno) je povređen od strane mlečnog zuba u toku razvoja tako da je izostala izgradnja gleđi
Stečeni razvojni nenasaledni defekti na mlečnim zubima nastaju pod dejstvom štetnih faktora u zadnjem trimestru trudnoće, na samom porođaju ili u prvim mesecima posle rođenja. Najčešće se radi o:
Veoma često uzrok premećaja ne može tačno da se definiše, ili se radi o više različitih faktora. Ponekada se odmah po nicanju zuba ne pojavljuje defekti, već pre kao poremećaj boje, ali ubrzo dolazi do pucanja gleđi i ispoljavanja prave slike hipoplazije.
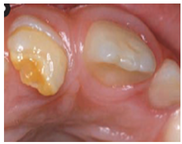
Vrlo je važno da se razlikuje karijes od razvojnog defekta. Karijes se pojavljuje kao bela mrlja na prethodno normalnoj gleđi i to pre svega uz ivicu desni. Rezvojni defekat je uglavnom na drugim površinama, gde se karijes ne javlja. (Slika 4. i 4b)

Karijes se uvek javlja uz desni i počinje kao bela mrlja(desno), razvojni defekti(hipoplazija) su češće na drugim delovima zuba(levo)

Karijes kod beba brzo napreduje i razara celu površinu zuba, pa ponekada može da podseća i na razvojne defekte.
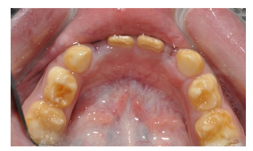
Razvojni defekti se razvijaju i na bočnim zubim i ponekad je i za stručnjaka teško da ih primeti.(slika 5.). Na ovakve defekte se često nadovezuje karijes.

Razvojni defekt gleđi na bočnim mlečnim zubima koji se teško uočavaju i često brkaju sa karijesom.
Razvojne promene na mlečnim zubima treba otkriti što je ranije moguće. Zbog toga su, između ostalog, veoma značajni prvi pregledi već u pvoj godini života. Deca sa razvojnim defektima zubne gleđi spadaju u VEOMA RIZIČNU GRUPU jer su takvi zubi skloniji karijesu, ali i trošenju, pa je neophodna hitno preduzeti dodatnu zaštitu i jačanje. U nekim slučajevima jedino rešenje da se sačuvaju zubi je i postava fabričkih krunica.
Veoma često, ali ne i obavezno, postojanje razvojnih defekata na mlečnim zubima bude praćeno i sličnim promenama na stalnim, jer se u istom periodu razvijaju i određeni delovi pojedinih stalnih zuba(uglavnom sekutići i prvi molari-”šestice”).
Treba imati na umu da u toku razvoja zuba može doći do poremećaja u izgradnji zubne gleđi, ali da se to ne ispoljava u vidu uočljivih hipomaturacija ili hipoplazija. Ipak takva gleđ je osetljivija na karijesne nokse, i ako se na vreme ne preduzme dodatna zaštita, može da dođe do brzog napredovanja i razaranja zuba. U tome i leži razlog zašto se kod neke dece karijes brzo razvija, a kod druge, iako imaju iste faktore rizika, ne dolazi. Zbog toga je i jako značajno određivanje rizika i pre nego se pojavi oboljenja. Prisutvo različitih bolesti u trudnoći, poremećaja na porođaju, mala telesna težina, bolesti i uzimanje lekova u prvim mesecima, upućuju na takvu mogućnost