Svetozara Markovića 56
Beograd
BioHPP – nova klasa materijala u zubnoj protetici
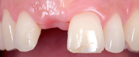
BioHPP materijal (High-performance polymers – Polimeri visokih performansi) je u današnjoj stomatologiji uspešno zamenio sva dosadašnja poznata rešenja fiksnih protetskih radova, keramičkih mostova, izrađenih na zlatu, leguri Co-Cr-Mo, alumini, cirkonijumu…
Zbog sve veće potražnje za bezmetalnim rešenjima, zbog estetskih vrednosti ali i zbog učestalije pojave netolerancije na metal, naša Ordinacija je u mogućnosti da svojim pacijentima ponudi višestruko kvalitetnije rešenje poznatno pristupačnijim cenama.
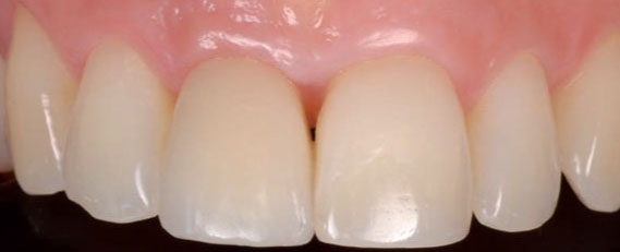
Samo modelovanje i oblikovanje, zbog svojstva koje BioHPP ima, umnogome je olakšalo rad našim tehničarima te se pacijentima mogu pružiti izuzetna funkcionalna i estetska rešenja.

Bezmetalni BioHPP materijal se uspešno koristi u humanoj medicini više od 30 godina gde se primenjuje u ortopediji kod kukova i zglobova. Zahvaljujući njegovoj stabilnosti, optimalnim svojstvima za poliranje i nemogućnosti zadržavanja i stvaranja plaka, BioHPP je pogodan za izradu visoko-kvalitetnih protetskih nadoknada.
Elastičnost materijala, koja je najsličnija ljudskoj kosti daje prirodan izbor jer može da nadoknadi uvijanja i opterećenja naročito ako je u pitanju veći broj ugrađenih implanata i članova nosača protetskih mostova. Prirodna bela boja rešava dosadašnji problem vidljivosti metalne osnove kroz transparentne keramičke navlake, a niska reakcija sa drugim materijalima je idealna za pacijente sa alergijama.
Ono što još ovaj materijal izdvaja od svih drugih je mogućnost da se protetska rešenja mogu korigovati u svakom trenutku. Može se menjati željena boja čak i popravljati zub koji je ispod mosta bez skidanja komplatnog protetskog rada što danas nije moguće kod metalokeramičkih mostova i kruna.

Protetska rešenja u stomatologiji od BioHPP materijala je proizvođač nemački Bredent testirao u Regensburg univerzitetskoj bolnici kojima su direktnim poređenjima nadmašena sva svojstva drugih materijala.


Svojim zubnim implant sistemima i BioHPP materijalom, Bredent je postavio nove standarde u modernoj stomatologiji.