Svetozara Markovića 56
Beograd
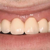
U sklopu protetske rehabilitacije ,kao jedna od medjufaza ,cesto su potrebne privremene krunice.Zahvaljujuci njima pacijent se moze baviti standardnim aktivnostima uz estetski prihvatljiv izgled.One se izradjuju od visoko estetskih kompozitnih materijala,kompozita sa keramickim cesticama.
Takodje se koriste i posle hiruskih intervencija parodontoloskog tipa, ili po ugradnji implantata kada jedno duze vreme nije indikovano da se konacno protetski rehabilituje pacijent.
Ove vrste privremenih nadoknada imaju ograniceni vek trajanja od 4 do 6 meseci i iako vracaju funkcije mastikatornog tipa i mogucnost normalne funkcije vilica u tom periodu,pacijentima savetujemo da uvek imaju na umu da su to znatno porozniji materijali.

