Svetozara Markovića 56
Beograd
Parodontologija je nauka koja se bavi oboljenjima potpornog aparata zuba i mekih tkiva oko zuba. Imajući na umu da je danas parodontopatija najčešći uzrok gubitka zuba, rano otkrivanje bolesti i pravovremena terapija od izuzetnog su značaja za dobar i predvidiv terapijski ishod. Najčešće je potrebno izvršiti par konzervativnih tretmana, ukloniti konkremente iz supragingivalnih i subgingivalnih regiona, podučiti pacijenta daljoj pravilnoj higijeni i dogovoriti se o periodičnim posetama.
Prvi simptomi koji se javljaju su krvarenje desni, izrazito crvene desni uz prisustvo blagog otoka, povlačenje desni, neprijatan zadah, prisustvo mekih naslaga, često i zubnog kamenca. U odmakloj fazi dolazi i do oštećenja potpornih tkiva zuba, stvaranje koštanih defekata i rasklaćenja zuba.
Redovnim kontrolnim pregledima može se dijagnostikovati parodontopatija u ranoj fazi.

Nekada se dešava da se bolest dijagnostikuje u uznapredovaloj fazi sa prisutnom koštanim defektima ,,džepovima”, uznapredovalim povlačenjem desni, propadanjem potpornog aparata zuba i rasklaćenjem zuba. Tada se mora primeniti hirurška terapija. U tu svrhu, obavićemo prethodno sve potrebne konsultacije, preglede i rentgen analize i ustanoviti koji zubi su najugroženiji i kakva je njihova dalja prognoza.
Ugradnja zamenika kosti i upotreba resorptivnih membrana danas predstavljaju savremeni pristup u terapiji koštanih defekata. Njima u značajnoj meri moguće je nadoknaditi izgubljeno koštano tkivo. Na taj način produžava se vek zuba i suzbija dalji razvoj parodontopatije .

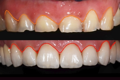
Pravilane proporcije širine i dužine zuba za idealnu liniju osmeha podjednako su važne kao i harmoničan odnos vidljive bele boje zubne supstance i ružičaste mekotkivne boje. Nekada taj odnos može biti narušen, tako da jedan, više ili svi zubi mogu izgledati kratki a osmeh ,,pun desni”! Mikrohirurška intervencija produženja kliničkih kruna izvodi se na više načina u zavisnosti od estetskih i funkionalnih zahteva. Njen cilj je da oslobodi vidljivi beli deo zuba i da kroz dužinu i pravilnu proporciju zuba osmehu da nepohodan i željen balans.