Svetozara Markovića 56
Beograd
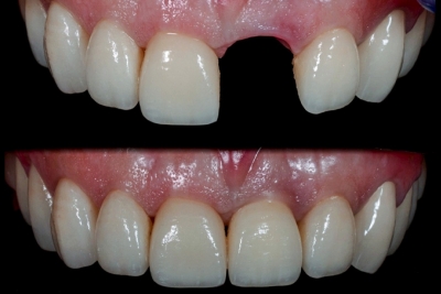
Najbolja zamena za nedostajući zub je implant. Najbolja zamena za sve nedostajuće zube je određeni broj implanata i protetska nadokanda na njima. Bez obzira na prirodu gubitka zuba ni jedno od praktikovanih protetskih rešenja nije se pokazalo efikasnijimi dugotrajnijim od zubnog implantata.
Jedan implantat može nadoknaditi jedan izgubljeni zub, sa par može se rekonstruisati čitav krezubi segment vilice, dok sa 4 do 8 može se potpuno rekonstruisati bezuba vilica. Koliko implanata treba baš Vama i na koji način bi se dizajnirao najoptimalniji terapijski postupak saznaćete posle kliničkog pregleda i analize pomoćnih dijagnostičkih elemenata, rtg snimaka, CBCT 3D snimka i analize modela nedostajućih i preostalih zuba.
Stomatolozi i njihovi pacijenti veoma često se suočavaju sa situacijom kada nakon gubitka zuba u bočnim regijama u vilici više nema dovoljno kosti da bi se ugradili implanti. Iako su mogući i drugi slučajevi, nedostatak kosti najčešće se ispoljava kroz uvećavanje sinusne šupljine, što se dešava zbog gubitka zuba. U tom slučaju ne može se pristupiti ugradnji implanata jer bi zubni implanti ugrađeni u takvu kost prominirali (ulazili) u sinusnu šupljinu, bez mogućnosti da se njihov kraj učvrsti u kosti. Ipak, to ne znači da u takvoj situaciji nije moguće ugraditi implante, već samo da je potrebno preduzeti određene korake kako bi se obezbedila koštana potpora za buduće implante.

Zubni implant je najčešće specijalno dizajniran cilindrični šraf sačinjen od titana, koji nadoknađuje nedostajući prirodni koren zuba. Implantati sačinjeni od cirkonijumoksida se takođe nekada koriste.

Prednosti implantne terapije su višestruke:

Mi u CDEI najčešće kažemo da je svaki pacijent koji je došao do naše prakse, a izgubio jedan, više ili sve stalne zube kandidat je za uspešnu implantološku rehabilitaciju. Nekada je na mestu predviđenom za implantat potrebno prvo hirurškom tehnikom augmentacije stvoriti koštano tkivo, a nakon par meseci pristupiti postavci implantata.
Danas svako može da dobije dentalni implant, pitanje je samo vremena i potrebnih pripremnih radnji. Neki pacijenti zahtevaju strpljiviju pripremu, procenu i složeniju proceduru od drugih. Jedino ograničenje je vezano za pacijente sa nezavršenim rastom vilice, odnosno decu određenog uzrasta.
Uslov za uspešan tertman implantatima je detaljan klinički pregled i analiza svakog pacijenta. Samo iskusni stomatolog je sposoban za ovo. On kreira plan terapije i predlaže individualni tretman za svakog pacijenta.

Kao i kod svake operacije, vrlo mali broj bolesti kao i loše opšte zdravstveno stanje imaju negativan efekat na vezivanje implantata. Nedovoljna količina ili kvalitet kosti može biti relativna kontraindikacija i u tom slučaju se moraju preduzeti dodatne hirurške mere ugradnjom veštačke kosti. Pre i posle implantacije dobra oralna higijena je neophodna radi dugotrajne stabilnosti i sprečavanja zapaljena kosti oko implantata.

Odluka o tretmanu dentalnim implantatima se zasniva na jednoj stvari koja je bitnija od informacija i činjenica, a to je poverenje. Poverenje u metod procedure, stomatologa kao i implatatni sistem.
Danas je dostupna prava poplava informacija ukoliko želite da se uhvatite u koštac sa tematikom dentalnih implantata, od informacija koje potiču od renomiranih specijalista sa medicinskom osnovom do neprijatnih priča pojedinih pacijenata, čiji tretman iz bilo kog razloga nije doveo do željenog rezultata.
Koji implantni sistem će se koristiti i kakav će biti protokol terapijskog postupka odrediće tim CDEI. Pacijent mora biti informisan i saglasan sa predloženim tokom tretmana. Za pacijenta postoji nekoliko faktora za učešće u odluci koji implantat izabrati. Prvi, da li je kompanija koja proizvodi implantat dovoljno dugo na tržištu da se može predvideti da će u narednim godinama (decenijama) biti moguće kroz zamenu određenih delova koristiti prednosti već ugrađenih implantata ili to može predstavljati problem. Drugi, sistem koji se ugrađuje bude popularan, da ima široku nacionalnu i internacionalnu distribuciju, kako bi se manji zahvati ili nastavak terapije mogli obaviti u drugoj ordinaciji, zemlji ili kontinentu. Naročito je važno za pacijente koji žive u inostranstvu ugraditi implantni sistem koji bi mogao da se održava i u zemlji iz koje dolaze. Jer svaki implantni sistem ima sebi svojstven alat i bez njega nije moguće obaviti intervenciju na protetskom delu konstrukcije.
CDEI se godinama oslanja na partnerstvo sa dve kompanije: Nobel Biocare, švedski globalni lider u implantologiji, kao premium brenda i Bredent kao ekonomski pristupačniji sistem i Alpha Bio , izraelski sistem koji sve veću popularnost stiče svojom cenom.

Otkrivanje implantata i protetska rehabilitacija.
Posle osteointegracije, kapica na vrhu implantata se uklanja i umesto nje se postavlja former gingive koji omogućava stvaranje prirodnog izgleda desni oko krunice koju će nositi taj implantat. Nakon toga protetičar uzima otisak i krunica se na osnovu otiska izrađuje u zubotehničkoj laboratoriji. Nakon izrade suprastrukture protetičar je šrafi umesto gingiva formera i trajno fiksira krunicu.

Ugradnja impalntata neposredno nakon vađenja zuba.
Nije potrebno čekati da rana nakon izvađenog zuba zaraste kako bi bilo moguće rešiti problem novonastalog bezubog prostora. Promene u dizajnu implanta, upotreba naprednih tehnologija za kompjuterizovano planiranje i potom eventualna izrada hirurške vođice, danas nam omogućavaju da svaki deo preostale kosti iskoristimo za ugradnju implantata i time skratimo sveukupni terapijski postupak.

Nauka je temeljno dokazala da pravilno odabran i opterćen implantat neposredno posle ugradnje ima istovetni dugoročni stepen uspeha kao i implanti koji su opterećeni posle perioda koštane integracije. Obavezna je pažljiva dijagnostika i planiranje, kao i pravilno odabran dizajn implantata, kako bi čak 80% pacijenata posle ekstrakcije zuba i ugradnje implanata u istom aktu mogli dobiti i privremene nadoknade. Privremene nadoknade omogućavaju funkcionalno i estetsko zbrinjavanje pacijenata do završetka integracije implantata, kada se izrađuje definitivna nadoknada. Ovaj pristup važan je svima koji imaju problem u socijalnim aktivnostima usled gubitka jednog ili više zuba, kao i pacijenti koji će zbog nedostatka svih zuba već posle operacije dobiti određenu estetsko funkcionalnu sanaciju i lakše proći kroz period ,,čekanja”
.jpg)
Da bi implantacija uspela, za implant moramo imati zadovoljavajući volumen kosti. Gubitak zuba često dovodi i do gubitka kosti. Ako kost ispod desni nije dovoljna u sve 3 dimenzije, pristupamo nadogradnji kosti (augmentaciji) u koju ćemo posle određenog vremena, uspešno ugraditi implantat. Najčešće takav postupak se sprovodi simultano sa postavljanjem implanta, kada je došlo do delimične resorpcije kosti.
Postoji više materijala i tehnika za augmentaciju. U tu svrhu koriste se materijali životinjskog porekla, sintetski proizvedeni, nekada se sa njima meša i kost koju dobijamo iz ležišta implantata. Ideja je da takav materijal u kontaktu sa oralnim tkivima postane osnova za stvaranje kvalitetne kosti koja ce u perspektivi biti pogodna za implantaciju.

Kontakt implantata i vilične kosti je direktan, bez prisustva vezivnog tkiva. Zbog fiziološkog procesa zarastanja i oporavka kosti, nakon implantacije predstoji period integracije implanata za viličnu kost. Osam nedelja u donjoj i oko šesnaest u gornjoj vilici. Ukoliko je primenjena i procedura nadogradnje kosti period integracije može se produžiti za nekoliko nedelja.
Vezivanje implantata zahteva vreme dok se proces remodelacije kosti ne završi. Posle toga implantat je spreman da primi funkcionalno opterećenje protetske nadoknade.

Stepen uspešnosti terapije implantatima na 10 godina je oko 97 procenata. Preostala 3 procenta se najcešće izgube posle same ugradnje usled više razlicitih faktora. Preduslov za uspeh je da se pacijent pridržava saveta stomatologa, redovno održava oralnu higijenu, redovno dolazi na kontrolne preglede i profilaktičke tretmane. Jednom kvalitetno integrisan implantat teško je ukoniti nehirurškim putem i zato je planiranje njihove postavke krucijalna faza uspešnog tretmana.

Trošak implantne terapije najčešće uključuje cenu ugradnje implanta, moguće nadoknade mekih i tvrdih tkiva, kao i protetske nadoknade koja ce na implantat biti postavljena. Naš tim će kreirati individualni plan terapije prilagođen Vašim željama i mogućnostima.

Klinički pregled, analiza rentgenskih snimaka, po potrebi i CBCT (3D) snimaka kao i analiza modela vilica pacijenta potrebni su stomatologu za kreiranje plana terapije. Naša poslovna politika je da Vas temeljno upoznamo sa svim detaljima Vaše buduće terapije.
1. Hirurška intervencija
Standardna procedura se sastoji u jednoj poseti kada se u lokalnoj anesteziji izvrši ugradnja implantata na minimalno invazivan način.
Najčešće se implantat prešiva sluzokožom usne duplje i ostaje njomeprekriome u toku perioda srastanja za kost.
Trenutno opterećenje implantata.
Ugradnjom implantata određenog dizajna i postizanja njihove visoke stabilnosti u viličnoj kosti u mogućnosti smo da potpuno ili parcijalno bezube pacijente obskrbimo privremenim nadoknadama, krunicama i mostovima koji se izrađuju unutar 24 sata posle implantacije. Time odmah nakon hirurškog zahvata možemo estetski rehabilitovati pacijenta sa izgubljenim zubom u prednjoj, estetskoj regiji ili mostovima na tek ugrađenim implantima kod bezubih pacijenata. Time se period čekanja za kvalitetnu oseoitegraciju značajno olakšava a pacijent ne prolazi kroz višemesečnu fazu potpunog nedostatka zuba, što je do skoro bila neminovnost.
2. Otvaranje implantata
Osam do dvanaest nedelja nakon hirurške intervencije vrši se oslobađanje implantata i postavljanje gingiva formera na njegovom vrhu. On za cilj ima modelovanje desni tako da sa definitivnom protetskom nadoknadom odaje utisak pravog zuba. Nakon postavljanja gingiva formera protetičar uzima otisak na osnovu kog se u zubotehničkoj laboratoriji izrađuje definitivna protetska nadoknada.
3. Protetska rehabilitacija
Kada je definitivna protetska nadoknada gotova protetičar je fiksira za implantat.
Ovo je jedno od najčešćih pitanja u našoj zubnoj ordinaciji. Iako se odogovor čini prilično jednostavan potrebno je izvršiti detaljnu analizu stanja svakog pacijenta radi potencijalne ugradnje zubnog implanta. Pažljiva analiza će lekaru i pacijentu pomoći da zajedno naprave detaljan plan terapije ugradnje veštačkog zuba. U mojoj implantološkoj praksi pokazalo se da je donošenje detaljnog plana terapije najvažniji aspekt u čitavom implantološko-protetskom procesu i da se neželjene situacije svode na minimum kada se svaki slučaj dobro isplanira.
Plan terapije zubnim implantima podrazumeva da se unapred definiše broj zubnih implanata i zubnih krunica potebnih za rehabilitaciju pacijenta. Najpoželjnije je planirati prvo broj, oblik i položaj zubnih krunica pa tek onda broj i položaj implanata. Ovakav pristup omogućava pacijentu da do detalja isplanira kako će rasporediti svoje vreme i finansije.
Na prvom pregledu se uglavanom trudim da obuhvatim sve aspekte koji su važni za donošenje detaljnog plana terepije ugradnje zubnih implanata.
Želje pacijenta su nešto od čega uvek polazim i prvo pitanje koje postavljam pacijentu je “Koje su vaše želje?”. Uglavnom pacijenti dolaze solidno informisani o zubnim implantima, kao i sa već formulisanim željama za rešavanje njihove situacije. Ako je pacijent siguran da želi implant onda procedure nadokande kosti, vreme ili finansije po pravilu nisu problem, pa je samim tim praktično već određen plan terapije.
Analiza 3D ortopana. Ono što je u današnje vreme neophodno je izrada i analiza 3D orotpana. Ako 3D orotpan tj. CBCT snimak pokaže da pacijent podseduje dovoljno vilične kosti za ugradnju zubnog implanta onda je sigurno da je on kandidat za dentalni implant. Međutim, često se dešava da pacijent nema dovoljno vilične kosti, te je onda potrebno pristupiti nadoknadi kosti, na šta pacijenti ponekad nisu spremni.
Stomatološkim pregledom utvrđuje se stanje u usnoj duplji, odnosi među vilicama, prisustvo bruksizma i prisustvo parodontopatije. Uglavnom je potrebno ukloniti meke naslage, kamenac, sanirati karijesne lezije i parodontopatju pre započinjanja bilo koje zubo-implantne terapije.
Starosna dob. Ako je pacijent zdrav životna dob ne igra bitnu ulogu u planu terapije. Pod dobrim zdravljem podrazumevamo odsustvo težih oboljenja i loših navika, kao i kretanje svih krvnih parametara u granicama normale.
Loše navike. Činjenica je da strastveni pušači imaju manje šanse za uspešnu integraciju implanta, pa se stoga savetuje prestanak konzumiranja cigareta ili se plan terapije menja iz implantološkog rešavanja u neka druga protetska rešenja.
Zdravstveno stanje. Bilo koje hronično oboljenje smanjuje šanse za uspeh zubno impalntne terapije, međutim važno je napomenuti da u današnje vreme postoje protokoli kako da se prisutupi uspešnoj ugradnji veštačkog šrafa za svako ozbiljnije oboljenje.
Nakon pregleda, prvog razgovora i analize 3D ortopana dolazimo i do najvažnijeg pitanja:
Ovde se ponovo moramo osvrnuti na plan trepije. Zašto? Često se dešava da nakon gubitka jednog zuba susedni zubi počnu da se naginju u prazan prostor i može se dogoditi da nije moguće napraviti zubnu krunicu na mestu izgubljenog zuba, iako smo u mogućnosti da ugradimo zubni implant. Da ne bi došlo do ovakvih nesporazuma važno je sve ispalnirati pre same intervencije. Isto važi i ako je izgubljeno više zuba – mora se obratiti pažnja na promene na susednim zubima, promene na susuednoj vilici i promene u zagrižaju. Detaljnim pregledom je potrebno sve uočiti i uzeti u obzir, jer ako je pacijnt nekada imao četiri zuba koji su izvađeni ne znači da je sada u taj prostor moguće ugraditi četiri nove zube krunice, pri čemu nas broj budućih krunica vodi ka broju zubnih implanata potrebnih za rehabilitaciju pacijenta. Tek nakon planiranja željenih pozicija implanata na 3D ortopanu se proverava količina vilične kosti u željenoj regiji. Ako 3D orotpan pokaže da nema dovoljno vilične kosti menja se plan terapije, ali sve promene plana neophodno je izvršiti pre započinjanja bilo koje intervencije kako bi pacijent mogao dati saglasnost za terpiju ili predložiti izmene. Veoma je važno da se zajednički donese detaljan plan terepije koji će nas kasnije voditi kroz čitav proces.
U našoj zubnoj ordinaciji oba implantska zahvata – izradu protetskog dela i samu ugradnju implanata izvodim lično, što je daleko bolje po pacijenta, jer ako jedan doktor ugrađuje zubne implante a drugi kasnije na postavljenim implantima izrađuje zubne krunice mogu nastati greške koje je kasnije veoma teško ispraviti.
Prvi dolazak u stomatološku ordinaciju podrazumeva stomatološki pregled i analizu običnog ortopan snimka. Ako se pacijent odluči za upuštanje u proceduru ugradnje zubnih implanata upućuje se na obavezno snimanje 3D orotpana tj. CBCT snimka tačne regije. Nakon analize 3D ortopana ili CBCT snimka poznato je ima li dovoljno zubne kosti za ugradnju zubnih implanata. Kada se kaže “dovoljno kosti” misli se na širinu i visinu kosti u regiji gde se planira ugradnja titanijumskog zubnog šrafa, a takođe se misli i na položaj budućeg dentalnog šrafa u odnosu na nerve i vilične sinuse.
Po izradi detaljnog plana terapije pacijent dobija sve neophodne lekove kao obaveznu pripremu za sam hirurško-implantski zahvat i proces ugradnje titanijumskih šrafova može početi već sutradan. Ako je potrebno vađenje zuba, ono će se obaviti prvog dana, a ugradnja šrafova počeće dva ili tri dana kasnije kada rane zarastu. Pre samog zahvata ugradnje implanata pacijenti potpisuju saglasnost i pristanak na implantološku proceduru. Hirurška intervencija ugradnje zuba može trajati od pola sata za ugradnju jednog titanijumskog implanta do nekoliko sati ako se ugrađuje više šrafova.
Sledećeg dana pacijent dolazi na kontrolu i naredna četiri meseca provodi čekajući da šrafovi srastu sa kostima. Kod totalne bezubosti i većih parcijalnih bezubosti uvek se obezbeđuje privremena proteza koju će pacijenti nositi u periodu srastanja implanata. Ako su ugrađeni Nobel Activ implanti pacijentima je moguće obezbediti privremeni most koji je ušrafljen i nepokretan, tako da pruža mnogo veći komfor i komoditet nego privremena proteza.
Pre same izrade je veoma važno definisati boju, oblik i dužinu budućih dentalnih krunica, a pacijentu se pomaže pokazivanjem slika različitih tipova i boja krunica. Sama izrada dentalnih krunica na zubnim implantima počinje otvaranjem zubnih implanata i uzimanjem otisaka. Ukoliko su preko dentalnih implanata bile postavljene krunice odmah nakon ugradnje zubnih šrafova, onda se privremene zubne krunice jednostavno skinu, uzme se otisak, a zatim se te privremene dentalne krunice vraćaju na zubne implante. Nakon uzimanja otiska u laboratoriji se posebno biraju abatmenti za svaki dentalni implant i nakon obrade abatmenta započinje izrada stalnih zubnih krunica.
Za izradu zubnih krunica potrebno je 7 do 14 dana. Pri samoj proceduri izrade implantno-protetskog rada potrebno je uraditi dve do tri probe koje mogu biti u razmaku od 7 do 10 dana i u tom periodu moguće je izvršiti finalne korekcije po pitanju boja i oblika krunica. Sledi definitivno pritezanje abatmenta u zubni implant i cementiranje budućih zubnih krunica, čime se okončava čitav proces.
Tokom prvih nekoliko meseci postaće jasno da li su se implanti perfektno primili u kost, što je gotovo uvek i slučaj, jer u našoj ordinaciji ne pokušavamo da ugradimo implante kada verujemo da ne postoje uslovi da se implant dobro integriše u kost. Integraciji implanta može umnogome pomoći zdrav način života, jer će smanjenje holesterola direktno uticati na sposobnost krvnih sudova da se koncentrišu oko šrafa. Više o faktorima uspešne integracije implanta možete pročitati na našem blogu.
Stomatolozi i njihovi pacijenti veoma često se suočavaju sa situacijom kada nakon gubitka zuba u bočnim regijama u vilici više nema dovoljno kosti da bi se ugradili implanti. Iako su mogući i drugi slučajevi, nedostatak kosti najčešće se ispoljava kroz uvećavanje sinusne šupljine, što se dešava zbog gubitka zuba. U tom slučaju ne može se pristupiti ugradnji implanata jer bi zubni implanti ugrađeni u takvu kost prominirali (ulazili) u sinusnu šupljinu, bez mogućnosti da se njihov kraj učvrsti u kosti. Ipak, to ne znači da u takvoj situaciji nije moguće ugraditi implante, već samo da je potrebno preduzeti određene korake kako bi se obezbedila koštana potpora za buduće implante.
Ovu operaciju moguće je obaviti na dva načina. Jednostavnija varijanta sinus lifta primenjuje se kada ja potrebno podići pod sinusa za 2-3 mm, a ta procedura naziva se krestalni sinus lift.
Tada se kroz otvor koji je napravljen za ležište implanta specijlanim aparatom neznatno podiže sluzokoža sinusa, zatim se insertuje manja količina veštačke kosti i odmah potom se ugrađuje zubni implant. Ova procedura se izvodi u sklopu samog impalantološkog zahvata i ne predstavlja veću nadoknadu kosti. Pacijent pritom nema drugačiji osećaj niti mu se uzima više vremena nego što je to slučaj sa standardnom ugradnjom implanata u kost, kada nije potrebna nadoknada koštane mase. Ova sinus lift procedura izvodi se rutinski, i nikada nema komplikacija, niti potrebe za ponavljanjem procedure.
U slučajevima kada se analizom 3D orotopana ustanovi da je razmak između usne duplje i poda sinusa 1-4 mm nije moguće izvesti krestalni sinus lift, već je potrebno preduzeti klasičan sinus lift sa lateralnim pristupom. Šta to znači u praksi?
Lateralni tj. bočni pristup podrazumeva stvaranje malog „prozora“ sa strane gornje vilice, koji se potom koristi za podizanje sinusne membrane i ubacivanje veštačke kosti u sinusnu šupljinu. Aktuelna istraživanja pokazuju da je pritom najboje koristii mešavinu koja sa sastoji polovinom od veštačke kosti i polovinom od kosti samog pacijenta (reč je o maloj količini kosti, koja je „pozajmljena“ sa bilo koje kosti pacijenta, gde će ubrzo ponovo izrasti). Takođe, takva kombinacija veštačke i prirodne kosti daje najbolje rezultate u cilju nastanka nove zdrave kosti u sinusnoj šupljini.
Posle popune sinusnuh šupljina pacijent raspolaže dovoljnom količinom koštane mase.
Ugradnja zubnih implanata obavlja se uglavnom zajedno sa sinus lift operacijom, čime se znatno skraćuje vreme potrebno za izradu zubnih krunica i za kompletan završetak tretmana. Ako se postupilo na ovaj način, nakon šest do osam meseci doći će do stvaranja nove kosti čime će uspešnost operacije biće nedvosmisleno potvrđena i tada će biti odmah moguće pristupiti izradi jedinog vidljivog dela u implantskoj proceduri – zubnih krunica. Naravno, nekada nije moguće ugraditi zubne implante istovremeno sa nadoknadom kosti i tada se implanti ugrađuju posle istih šest do osam meseci, kada potvrdimo da ima dovoljno kosti, međutim u tom slučaju potrebno je sačekati i dodatna četiri meseca da se implati učvrste pre nego što se izrade i ugrade krunice.
Ovaj tip sinus lift procedure dovodi do nešto većih otoka, tako da je potreban i duži oporavak, međutim to je ipak jedan od najuspešnijih načina ugradnje veštačke kosti, pri čemu se komplikacije događaju samo u neznatnom broju slučajeva
Oralno hirurška procedura kojom se povećava visina kosti u gornjem delu vilice naziva se Sinus lift. Radi se da bi se omogućili uslovi za ugradnju implantata. Maksilarni sinusi se nalaze iza obraza u kosti, prostiru se od oblasti ispod oka sve do iznad zadnjih zuba.
Često korenovi gornjih bočnih zuba ulaze u sinus. Posle vađenja ovih zuba često ostaje mala visina kosti između sinusa i usta. To predstavlja problem za stomatologa, jer ne može da ugradi i stabilizuje implantate da bi pacijent dobio fiksni protetski rad.
U toku sinus lifta, oralni hirurg pristupa sinusu sa mesta izvađenih zuba u gornjoj vilici, pažljivo podiže membranu sinusa i pakuje veštačku kost na dno sinusa.
Ako je visina prirodne kosti pacijenta bila tolika da se može postići primarna stabilnost implantata i vrh implantata se nalazi u sinusnoj šupljini, tada se zubni implantati odmah stavljaju i ub
acuje se veštačka kost da popuni prostor oko vrha implantata. Ukoliko je prirodna kost uska (par mm), tada se veštačka kost ubacuje u sinus i čeka minimum 6 meseci nakon čega se pristupa igradnji implantata.
Implant je titanijumski šraf koji se ugrađuje u kost vilice i srasta sa njom, a služi kao zamena za koren izgubljenog ili nedostajućeg zuba.Odlično rešenje i ukoliko postoje uslovi za ugradnju implanti nude trajno rešenje za gubitak zuba jer su strukturno i funkcionalno povezani sa kosti.
Koje su indikacije za ugradnju zubnih implanata?
Gubitak jednog ili više zuba prouzrokuje na prvom mestu poremećaj funkcije žvakanja, što znatno utiče na ostale funkcije našeg organizma, a isto tako dovodi do estetskih problema, stvarajući brojne neprijatnosti u svakodnevnoj komunikaciji.Bez zuba koji funkcijom žvakanja čuvaju viličnu kost, dolazi do laganog gubitka kosti. Obzirom da je kost podloga mišićima lica, kako ona nestaje smanjuje se i mišićna masa tako da lice poprima staračke karakteristike, te nastaju i funkcionalni i estetski problemi.Gubitak jednog ili više zuba prouzrokuje na prvom mestu poremećaj
funkcije žvakanja, što znatno utiče na ostale funkcije našeg
organizma, a isto tako dovodi do estetskih problema, stvarajući brojne
neprijatnosti u svakodnevnoj komunikaciji.Bez zuba koji funkcijom
žvakanja čuvaju viličnu kost, dolazi do laganog gubitka kosti. Obzirom
da je kost podloga mišićima lica, kako ona nestaje smanjuje se i
mišićna masa tako da lice poprima staračke karakteristike, te nastaju
i funkcionalni i estetski problemi.
Konvencionalne metode za nadoknadu izgubljenih zuba kao što su krunice i mostovi ili pak parcijalne i totalne proteze samo privremeno i delimično rešavaju problem.Da bi se postavili mostovi,
neophodno je da kao nosači budu uključeni i zub ispred i zub iza praznog prostora, što u velikom broju slučajeva dovodi do žrtvovanja odnosno brusenja potpuno zdravih zuba. Sa druge strane, ovi radovi rešavaju problem funkcije žvakanja i estetike, ali kost u predelu izvađenih zuba i dalje nije stimulisana procesom žvakanja tako da vremenom nastavlja da se resorbuje tj.gubi.
1.Procedura nadoknade izgubljenih zuba implantatom nošenim krunicama i mostovima može se podeliti u nek1. plan terapije koji podrazumeva klinički pregled i analizu rtg snimka od strane hirurga implantologa;
2. ugradnja implantata što podrazumeva hiruršku proceduru nakon koje se čeka 3-6 meseci da se
završi proces osteointegracije tj. sjedivanja implantata sa okolnom kosti
postavljanje suprastruktura na implantate posle perioda osteointegracije i uzimanje otisaka za izradu krunica i mostova
postavljanje krunica i mostova što je i završna faza ovog procesaoliko faza:
U svakom mogućem pogledu zubni implanti predstavljaju bolje rešenje za nadoknadu zuba koji nedostaju.
- Estetika: izgled i osećaj koji ima pacijent sa ugrađenim implantom je identičan onom kod prirodnih zuba. Pošto implant čvrsto srasta sa viličnom kosti sprečeni su gubitak kosti i povlačenje desni koji se često javljaju kod zubnih mostova i ispod proteza. Niko neće moći da primeti da imate vestacku zubnu nadoknadu u ustima
- Čuvanje preostalih zuba: zubni implanti ni na koji način ne narušavaju kvalitet preostalih zuba što se dešava pri izradi zubnih mostova.Što više zdravih i intaktnih zuba imate, veća je dugoročna korist za zdravlje vaših usta.
- Komfor i samopouzdanje:pomoću zubnih implanata ćete ponovo moći normalno da pričate, jedete sa komforom i većim samopouzdanjem. Oni vam omogućuju da kažete zbogom protezama koje su vas žuljale, ispadale i stvarale neprijatan osećaj stranog tela u ustima.
Implanti se izradjuju od biokompatibilnog materijala i ne postoji mogućnost odbacivanja implanata.Neuspeh je javlja u oko 3% slucaja i to kao posledica pogrešno postavljenog implanta,prevelike sile ili neodgovarajuće higijene!
U proseku pola sata.
Procedura se izvodi u lokalnoj anesteziji i apsolutno je bezbolna.Nakon operacije, prva 2-3h prisutan je blag bol koji prolazi upotrebom analgetika (najčešće je dovoljan samo 1).
Kao što vaši prirodni zubi zahtevaju održavanje dobre oralne higijene i redovne kontrole kod stomatologa tako i zubni implanti zahtevaju isti ili viši nivo brige i održavanja, tako da je redovno pranje zuba(implanata) i upotreba zubnog konca i/ili zubnog tuša uslov bez kojeg se ne može.
Po rezultatima najsavremenijih istraživanja 90-95% svih ugrađenih implantata u potpunosti funkcioniše nakon 10 godina, naravno uz preduslov da se pacijent pridržava saveta stomatologa, redovno održava oralnu higijenu, redovno dolazi na kontrolne preglede i profilaktičke tretmane.
Ugradnja implantata nema veze sa starošću pacijenta. Jedino ograničenje je vezano za pacijente sa nezavršenim rastom vilice- decu.
Kao i kod svake operacije, loše opšte zdravstveno stanje i vrlo mali broj bolesti imaju negativan efekat na vezivanje implantata. Nedovoljna količina ili kvalitet kosti može biti kontraindikacija, u tom slučaju se moraju preduzeti dodatne hirurške mere ugradnjom veštačke kosti.
Pre i posle implantacije najbitnija je dobra oralna higijena radi dugotrajne stabilnosti i sprečavanja zapaljena kosti oko implantata. Održavanje oralne higijene nakon ugradnje implantata se sprovodi po savetu stomatologa .I naravno redovni kontrolni pregledi su vazni za dugovečnost implantata i protetskih radova na njima.